We've updated our Privacy Policy to make it clearer how we use your personal data. We use cookies to provide you with a better experience. You can read our Cookie Policy here.

Advertisement

News

Scanning electron micrograph–style illustration of a CAR T cell used in T-cell therapy for cancer treatment.
News

"Armored" CAR T Cells Can Eradicate Solid Tumors

Roswell Park scientists show that IL-36γ–armored CAR T cells reprogram neutrophils to trigger powerful immune responses against solid tumors.
3D illustration of human cells showing nuclei. The cells are clear, with an orange center and are floating on a blue background.
News

Hidden Gatekeeper of Cell Death Revealed

A Dartmouth study reveals how LACTB reshapes the inner membrane trigger apoptosis, opening new paths for cancer and neurodegenerative therapies.
3D illustration of immune cells. The cells are white and are floating on a blue background.
News

New Immunotherapeutic Targets for Glioblastoma Found

A study profiling antigens presented on immune and tumor cells in co-culture points to new strategies for attacking a treatment-resistant and deadly brain cancer.
3D illustration of aggressive cancer cells spreading across tissue in a microscopic environment.
News

Melanoma Risk Nearly Triples With Tanning Beds

A new study reveals that tanning beds cause melanoma-linked DNA damage across almost the entire skin surface, explaining the nearly threefold rise in melanoma risk seen in users. Single-cell sequencing showed widespread mutations.
A boy receives a vaccination from a doctor.
News

Vaccinating Boys Could Help Eliminate Cervical Cancer

A new modeling study suggests that current HPV vaccination programs reduce cervical cancer but are insufficient for elimination. Expanding coverage to more girls or including boys could achieve herd immunity and end HPV-related cancers.
A cancer cell puts out feelers as it grows and spreads.
News

Mobile DNA Elements Drive Lung Cancer Evolution

New research has identified key factors that drive lung tumor evolution and influence outcomes, describing a previously unknown origin of some aggressive lung cancers.
A plastic model of a brain, bisected to revel the internal structures.
News

How Cancer "Hides" From the Brain's Immune Cells as It Metastasizes

Real-time imaging has tracked what happens to cancer cells arriving in the brain, identifying a new strategy to prevent brain tumors.
Two immune cells attack a cancer cell.
News

New Type of CAR T-Cell Therapy Effectively Kills Cancer Cells

A new type of CAR T-cell therapy elicits a more controlled immune response to cancer in mice, effectively killing cancer cells with fewer side effects.
White immune cells latch onto a yellow cancer cell.
News

Caloric Restriction Helps Fuel Cancer-Fighting Immune Cells

Reducing calorie intake helps cancer-fighting immune cells do their jobs more effectively, laying the groundwork for developing dietary strategies to boost cancer immunotherapy.
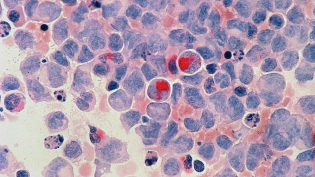
Microscopic view of acute myeloid leukemia cells.
News

CD123-Targeted Therapy Shows High Efficacy in Two Aggressive Blood Cancers

PVEK, a CD123-targeting antibody-drug conjugate, demonstrated strong response rates in two studies. Combined with VEN/AZA, it produced high remissions in CD123-positive AML and as monotherapy, it delivered high responses in high-risk BPDCN patients.
Advertisement